
인간의 뇌는 다른 동물에 비해 훨씬 더 크고 복잡합니다.
단순히 크기만 비교하면 코끼리의 뇌가 더 크겠지만, 몸의 크기 대비로 계산하면 인간의 뇌가 훨씬 더 크다고 할 수 있죠.
또한 인간의 뇌는 그 어떠한 동물보다도 신경 세포의 밀도와 연결성이 훨씬 더 복잡합니다.
과학자들은 우리의 뇌가 어떠한 과정을 거쳐 이러한 복잡성을 가지게 된 건지 오래전 부터 궁금해 왔는데요.
이를 알아내기 위해 과학자들은 기존에 한번도 시도되지 않았던 아주 신박한 방법으로 연구를 진행했습니다.
우리의 뇌를 연구하기 위해 과학자들은 아주 새로운 방법을 생각해 냈습니다.
그 방법은 바로 우리의 뇌와 먼 옛날에 멸종된 네안데르탈인의 뇌를 비교해보는 거였습니다.
이것이 가능하다면 그들의 뇌와 우리의 뇌가 어떻게 다른지 또 우리의 뇌가 왜 이렇게 진화되었는지를 조금은 알 수 있을지도 모릅니다.

그런데 한가지 중요한 문제가 있습니다. 우리는 네안데르탈인의 뇌를 구할 수가 없다는 겁니다.
그동안 네안데르탈인의 화석들은 많이 발견되었지만, 뇌는 지금까지 한번도 발견된 적이 없었죠.
그래서 과학자들은 배양 접시를 이용해 뇌를 직접 배양하기로 결정했습니다.
과학자들은 먼저 인간의 뇌 유전자만을 이용해 여러 개의 미니 뇌를 배양했습니다.
그리고 그 중 절반의 뇌에서 NOVA1 이라는 유전자를 제거한 뒤, 네안데르탈인의 유골에서 채취한 NOVA1 유전자로 교체했습니다.
NOVA1 유전자는 뇌를 발달시키는데 있어서 아주 중요한 역할을 하는 유전자로 알려져 있는데요.
과학자들은 이렇게 인간의 뇌와 네안데르탈인의 뇌 발달 유전자를 가진 하이브리드 뇌를 탄생시켰습니다.
역사상 처음 시도되는 네안데르탈인과의 하이브리드 뇌에는 과연 어떠한 변화가 일어나게 될까요?

인간의 뇌와 네안데르탈인의 하이브리드 뇌는 성장이 계속될 수록 확연한 차이를 보이기 시작했습니다.
일단 외형에서 부터 차이가 나기 시작했는데요.
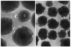
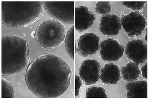
인간의 유전자로만 만들어진 뇌는 작은 구슬처럼 표면이 아주 매끄러웠습니다.
그런데 하이브리드 뇌는 인간의 뇌보다 훨씬 작고 표면이 불규칙했으며, 또한 크기도 훨씬 더 작았죠.
맨눈으로 봐도 그 차이를 확연하게 알 수 있을 정도로 두 뇌의 상태는 너무나도 달랐습니다.
그 뿐만이 아닙니다. 두 뇌는 구조적인 면에서도 완전히 다른 모습을 보여주었는데요.
하이브리드 뇌가 인간의 뇌보다 신경이 훨씬 더 활동적이었고 인간의 뇌와는 다른 단백질을 만들어내고 있었습니다.
과학자들은 이러한 결과를 네안데르탈인의 뇌가 인간의 뇌보다 훨씬 더 어릴때 완성된다는 의미로 해석했습니다.
이는 네안데르탈인이 가지고 있던 단순한 사회 시스템을 빠르게 이해하는데 큰 도움이 되었을 겁니다.

그래서 네안데르탈인들은 사냥을 하고 음식물을 구하는 등의 능력을 더 빠르게 학습할 수 있었을 겁니다.
하지만 뇌가 너무 빠르게 성숙해진다는 점은 복잡한 사고와 사회적 유대감을 형성하는데 커다란 약점으로 작용했을 가능성이 높습니다.
이러한 약점은 결국 네안데르탈인을 멸종으로 이끌게 된 결정적인 원인이 되었을 가능성이 있죠.
반대로 인간의 뇌는 이들과 다르게 크기 자체는 더 빠르게 커졌지만 뇌 신경은 훨씬 더 느리게 성장했습니다.
그래서 인간은 세상을 이해하는데 더 많은 시간이 필요했을 겁니다. 하지만 이는 궁극적으로 더욱 복잡한 사고와 사회적 유대감을 형성할 수 있게 만들어 주었습니다.
이렇게 인간의 뇌와 네안데르탈인의 뇌가 다르게 성장하게 된 결정적인 원인은 바로 NOVA1 유전자였습니다.
이번의 연구를 통해 과학자들은 NOVA1 유전자가 뇌의 발달 방식을 크게 바꿀 수 있다는 점을 확인할 수 있었죠.
그렇다면 인간과 네안데르탈인의 NOVA1 유전자는 어째서 서로 달라지게 된걸까요?
과학자들은 먼 옛날 인간이 원래 가지고 있던 NOVA1 유전자에 돌연변이가 일어났을 것으로 추정했습니다.
그리고 이 돌연변이 유전자는 인류가 뇌를 복잡하게 발달시킬 수 있는 엄청난 이점을 가져다 주었습니다.
결국 변종 NOVA1 유전자를 가진 인류는 끝까지 살아남았고, 그렇지 않은 인류는 결국 사라지게 되었죠.

이번의 연구는 네안데르탈인의 삶과 죽음 그리고 현생 인류가 어떻게 살아남을 수 있는지를 간접적으로 보여주는 결과였습니다.
그리고 이러한 결과는 NOVA1 유전자의 변이에 의해 일어났을 가능성이 있다는 것도 새롭게 알 수 있었습니다.
만약 먼 옛날 인간의 뇌 발달 유전자에 돌연변이가 일어나지 않았다면 어땠을까요?
이 세상은 지금 우리가 아닌 네안데르탈인들이 지배하고 있을 지도 모르겠습니다.
논문 출처 : science.sciencemag.org/content/371/6530/eaax2537.full
Reintroduction of the archaic variant of NOVA1 in cortical organoids alters neurodevelopment
The genomes of Neanderthals and modern humans are overall very similar. To understand the impact of genetic variants that are specific to modern humans, Trujillo et al. performed a genome-wide analysis to identify 61 coding variants in protein-coding genes
science.sciencemag.org
2021/03/01 - [지구・ 생명] - 인간의 장에서 미지의 바이러스 70,000개가 발견되었습니다.
인간의 장에서 미지의 바이러스 70,000개가 발견되었습니다.
우리의 장속에는 수 많은 균들이 살아가고 있습니다. 우리가 잘 알고 있는 유산균이라는 균도 우리의 장속에서 살아가고 있는 대표적인 균이죠. 하지만 우리의 장속에는 이러한 균 뿐만 아니라
livelive.tistory.com
2020/06/24 - [과학・ETC] - 과학자들이 인간 유전자를 이식받은 원숭이를 폐기한 이유
과학자들이 인간 유전자를 이식받은 원숭이를 폐기한 이유
인간의 뇌와 다른 영장류의 뇌는 크기 면에서 확실하게 구별됩니다. 하지만 과학자들은 두 영장류의 뇌 크기가 왜 다른건지 이유를 알지 못합니다. 이 수수께끼를 풀기 위해 과학자들은 비단마
livelive.tistory.com
2020/05/17 - [과학・ETC] - 유전자가 조작된 쥐가 점점 인간에 가까워지고 있습니다.
유전자가 조작된 쥐가 점점 인간에 가까워지고 있습니다.
생물학적인 차이에도 불구하고 인간과 설치류는 우리가 생각하는 것보다 많은 공통점을 가지고 있습니다. 높은 유전자의 유사성과 사회성 그리고 인간과 동일한 체온 등 다양한 관점에서 말이
livelive.tistory.com
| 전문가들의 의견을 토대로 예측해본 외계인의 모습 (0) | 2021.05.30 |
|---|---|
| 과학자들은 돼지가 항문으로도 숨을 쉴 수 있다는 것을 발견했습니다. (0) | 2021.05.18 |
| 인간의 장에서 미지의 바이러스 70,000개가 발견되었습니다. (0) | 2021.03.01 |
| 과학자들은 과거 화성에서 온 암석에서도 살 수 있는 미생물을 발견했습니다. (0) | 2021.02.27 |
| 지구의 극한 환경에서 발견된 기괴한 생명체들 5 (3) | 2021.02.24 |