
두 명의 남성이 만나, 여성의 DNA 없이 오직 자신들만의 '완전한 유전적 자녀'를 가질 수 있다면 어떨까요?
혹은, 암 치료 등으로 난자를 모두 잃은 여성이, 자신의 피부 세포 한 조각으로 다시 '엄마'가 될 수 있다면요?
영화에서나 나올 법했던 이 이야기가, 이제 현실의 문턱까지 다가왔습니다.
최근 과학자들이 인간의 '피부 세포'를 기능하는 '난자'롤 만드는 데 성공했다는 충격적인 연구 결과를 발표했는데요.
이것은 단순히 난임 치료의 발전을 넘어, 인류의 번식과 '가족' 이라는 개념 자체를 뒤흔들 수 있는, 거대한 변화의 서막일지도 모릅니다.
이 기술의 핵심은 아주 간단합니다.
▪ 기존 문제 :

우리의 피부 세포 같은 일반 체세포는 46개(23쌍)의 염색체를 가지고 있습니다.
반면, 아기를 만들기 위한 난자와 정자는 각각 23개의 염색체만을 가져야 하죠.
(23+23=46, 이렇게 아기가 태어납니다.)
그래서 지금까지는 피부 세포(46개)로 난자를 만들면, 정자(23개)와 만났을 때 염색체 수가 69개가 되어버리는 근본적인 문제가 있었습니다.
▪ 새로운 해결책 :

하지만 연구팀은 '마이토마이오시스(mitomeiosis)'라는 혁신적인 기술을 개발했습니다.
이 기술은 피부 세포가 난자로 변하는 과정에서, 불필요한 염색체 한 세트(23개)를 스스로 '버리도록' 유도합니다.
그 결과, 46개짜리 평범한 피부 세포가, 23개짜리 완벽한 '인공 난자'로 재탄생하는 겁니다.
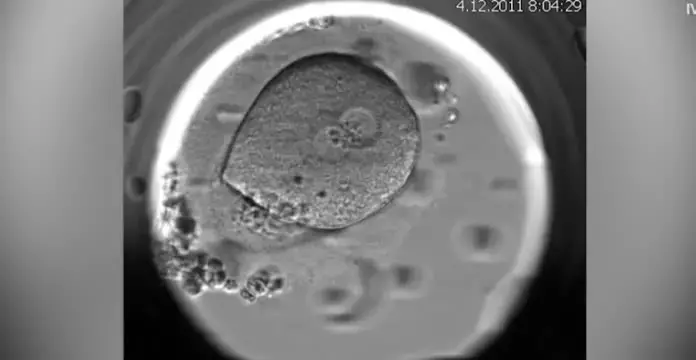
실제 실험에서, 이렇게 만들어진 82개의 인공 난자를 수정시킨 결과, 약 9%가 초기 배아 단계인 '배반포'까지 성공적으로 발달했다고 합니다.
이 기술이 상용화된다면, 인류의 삶은 극적으로 변하게 될 겁니다.
▪ "난임 부부에게 새로운 희망을"

가장 먼저, 난임으로 고통받는 수많은 사람들에게 새로운 희망이 될 수 있습니다.
암 치료나 노화, 선천적인 이유로 난자를 생성하지 못하는 여성들이, 자신의 피부 세포만으로 100% 자신의 유전자를 가진 아이를 낳을 수 있는 길이 열리는 겁니다.
전문가들은 이 연구가 '불임과 유산에 대한 우리의 이해를 완전히 바꿀 수 있는 돌파구"라고 평가했습니다.
▪ "두 아빠, 혹은 '나 혼자' 아이를 낳다"

그리고 이 기술은, 우리가 상상하지 못했던 새로운 가족의 형태를 가능하게 합니다.
이론적으로, 남성 A의 피부 세포로 '인공 난자'를 만들고, 이 난자를 남성 B의 정자로 수정하면, 여성의 유전적 개입 없이 두 남성의 DNA만을 가진 아기가 태어날 수 있습니다.
더 나아가, 한 사람의 피부 세포로 난자를 만들고, 같은 사람의 정자로 수정하는 극단적인 상상까지도 가능성의 영역에 들어오게 됩니다.

물론, 이 기술이 당장 현실에 적용되기까지는 수많은 난관이 남아있습니다.
▪ 낮은 성공률 : 실험에서 91%의 인공 난자는 수정 이후 제대로 발달하지 못했습니다.
▪ 안전성 문제 : 성공적으로 발달한 소수의 배아에서도 '염색체 이상'이 발견되었습니다.
▪ 윤리적 문제 : 생명을 인위적으로 창조하는 것에 대한 깊은 사회적, 윤리적 논쟁이 반드시 필요합니다.
전문가들은 이 연구가 아직은 '흥미로운 개념 증명' 단계일 뿐이며, 임상 시험까지는 안전성을 확보하기 위한 아주 긴 시간이 필요하다고 강조합니다.

피부 세포로 생명을 창조하는 시대.
우리는 지금, 인류의 미래와 생명의 정의를 다시 써야 할지도 모르는, 거대한 변화의 문턱에 서 있습니다.
이 기술은 축복이 될까요, 아니면 재앙의 서막이 될까요?
여러분의 생각은 어떠신가요?
당신도 가지고 있을지도 모른다! 제한된 인간만이 가진 9가지의 특수한 능력
당신도 가지고 있을지도 모른다! 제한된 인간만이 가진 9가지의 특수한 능력
보통의 인간을 초월하는 능력을 가지고 있는 사람은 분명히 존재합니다.마치 사진을 찍는 것 처럼 그 장면을 기억할 수 있거나, 모차르트처럼 그레고리오 알레그레의 미제레레를 한번만 듣고도
livelive.tistory.com
여자의 난자는 모르는 남자의 정자도 유혹합니다.
한 여성이 자신의 마음에 쏙드는 완벽한 남성을 선택했습니다.난자는 정자를 선택한다 그리고 이 여성은 이 남성과 결혼하여 아이를 낳아 행복한 가정을 꾸리고 싶어하죠. 하지만 생물학적으로
livelive.tistory.com
| 마치 다른 세계로 연결될 것 같은 전 세계의 댐 구멍들(일부 공포증 주의) (2) | 2025.10.03 |
|---|---|
| 과학자들이 밝혀낸, '빛(광자)'에 대한 가장 충격적인 사실 5가지 (0) | 2025.10.03 |
| 인류의 '노아의 방주' 프로젝트 근황 (feat. 58km짜리 우주선) (11) | 2025.08.13 |
| ※섬뜩주의※ 혹시 나도 사이코패스? '의외의 사이코패스 특징' 4가지 (8) | 2025.08.10 |
| "지구의 모든 불을 동시에 켜보자!" 가장 먼저 일어나는 일은 무엇일까? (7) | 2025.08.10 |